Rehabilitación total. Coronas e incrustaciones

Rehabilitación total. Coronas e incrustaciones

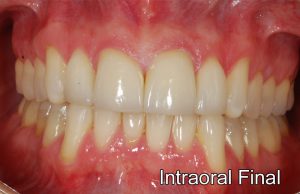
Se realizó un tratamiento integral de coronas en el sector anterior y nivelación de la oclusión del paciente en los sectores posteriores.

Rehabilitacion oral, las condesRehabilitacion oral, vitacura